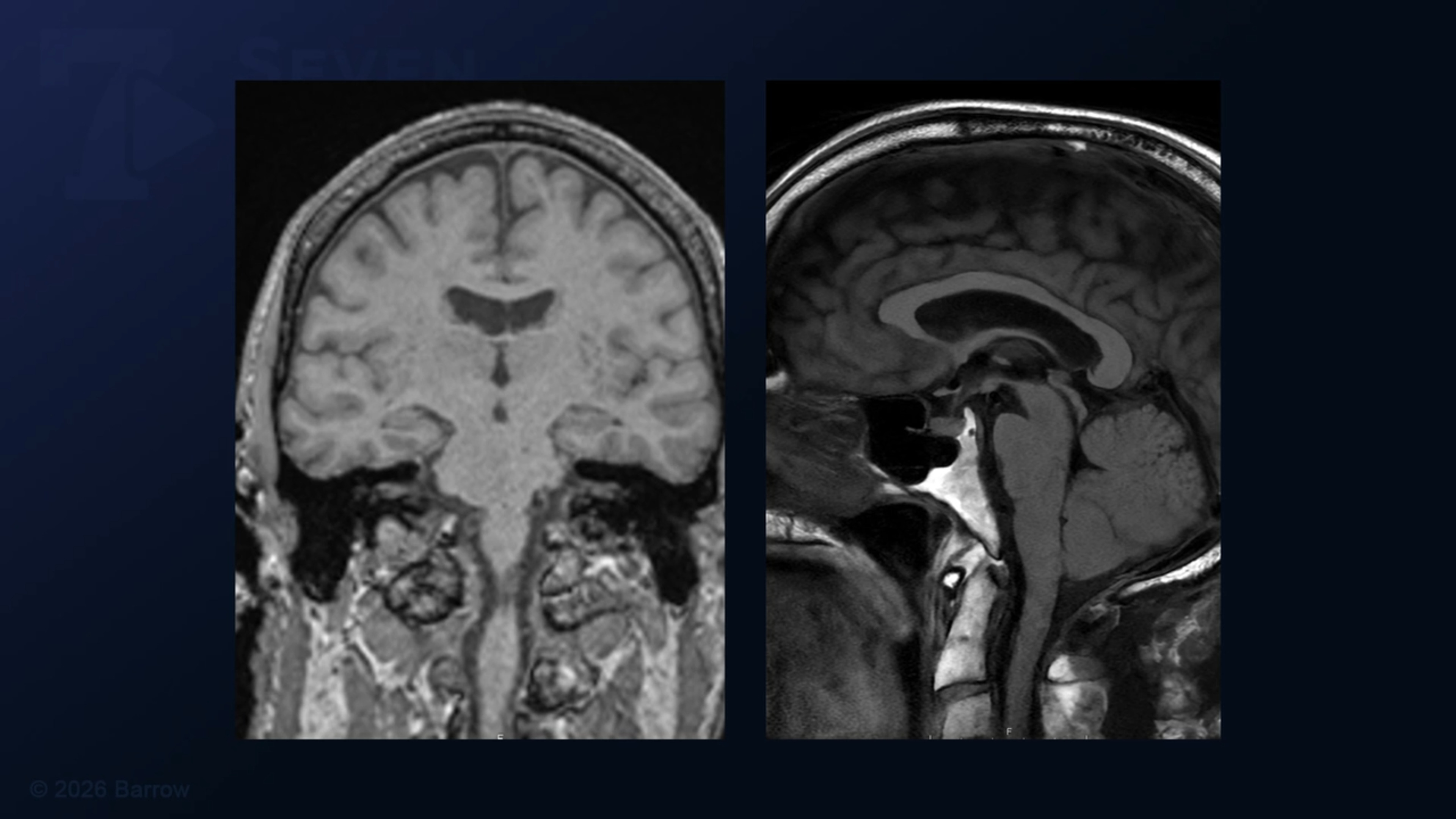
#498: Management of a Transected Occipital Sinus During Far Lateral Craniotomy for a Foramen Magnum Meningioma Resection
7:20
Episode 498 of Seven Series shows a management of a transected occipital sinus during far lateral craniotomy for a foramen magnum meningioma (FMM) resection.
Related Videos
In All Videos
-
Play video #506: Frontal Craniotomy Transsylvian Approach for Resection of a Frontal Sylvian Arteriovenous Malformation (Grade I)
#506: Frontal Craniotomy Transsylvian Approach for Resection of a Frontal Sylvian Arteriovenous Malformation (Grade I)
Episode 506 of Seven Series shows a frontal craniotomy transsylvian approach for resection of a frontal sylvian arteriovenous malformation (Grade I).
6:56
-
Play video #513: Torcular Craniotomy and Supracerebellar Infratentorial Approach for Resection of a Large Pineal Tumor
#513: Torcular Craniotomy and Supracerebellar Infratentorial Approach for Resection of a Large Pineal Tumor
Episode 513 of Seven Series shows a torcular craniotomy and supracerebellar infratentorial approach for resection of a large pineal tumor.
6:44
-
Play video #509: Simultaneous Clipping of Multiple Anterior Circulation Aneurysms
#509: Simultaneous Clipping of Multiple Anterior Circulation Aneurysms
Episode 509 of Seven Series shows a simultaneous clipping of multiple anterior circulation aneurysms.
6:47
-
Play video #508: Minipterional Craniotomy for Clipping of an Anterior Communicating Artery Aneurysm
#508: Minipterional Craniotomy for Clipping of an Anterior Communicating Artery Aneurysm
Episode 508 of Seven Series shows a minipterional craniotomy for clipping of an anterior communicating artery aneurysm.
7:03
-
Play video #511: Far Lateral Craniotomy for Clipping of a Ruptured Distal p2 Posterior Inferior Cerebellar Artery Aneurysm
#511: Far Lateral Craniotomy for Clipping of a Ruptured Distal p2 Posterior Inferior Cerebellar Artery Aneurysm
Episode 511 of Seven Series shows a far lateral craniotomy for clipping of a ruptured distal p2 posterior inferior cerebellar artery aneurysm.
7:17
-
Play video #505: Pterional Craniotomy with Extradural Anterior Clinoidectomy for Resection of a Giant Calcified Clinoidal Sphenoid Wing Meningioma
#505: Pterional Craniotomy with Extradural Anterior Clinoidectomy for Resection of a Giant Calcified Clinoidal Sphenoid Wing Meningioma
Episode 505 of Seven Series shows a pterional craniotomy with extradural anterior clinoidectomy for resection of a giant calcified clinoidal sphenoid wing meningioma.
8:37