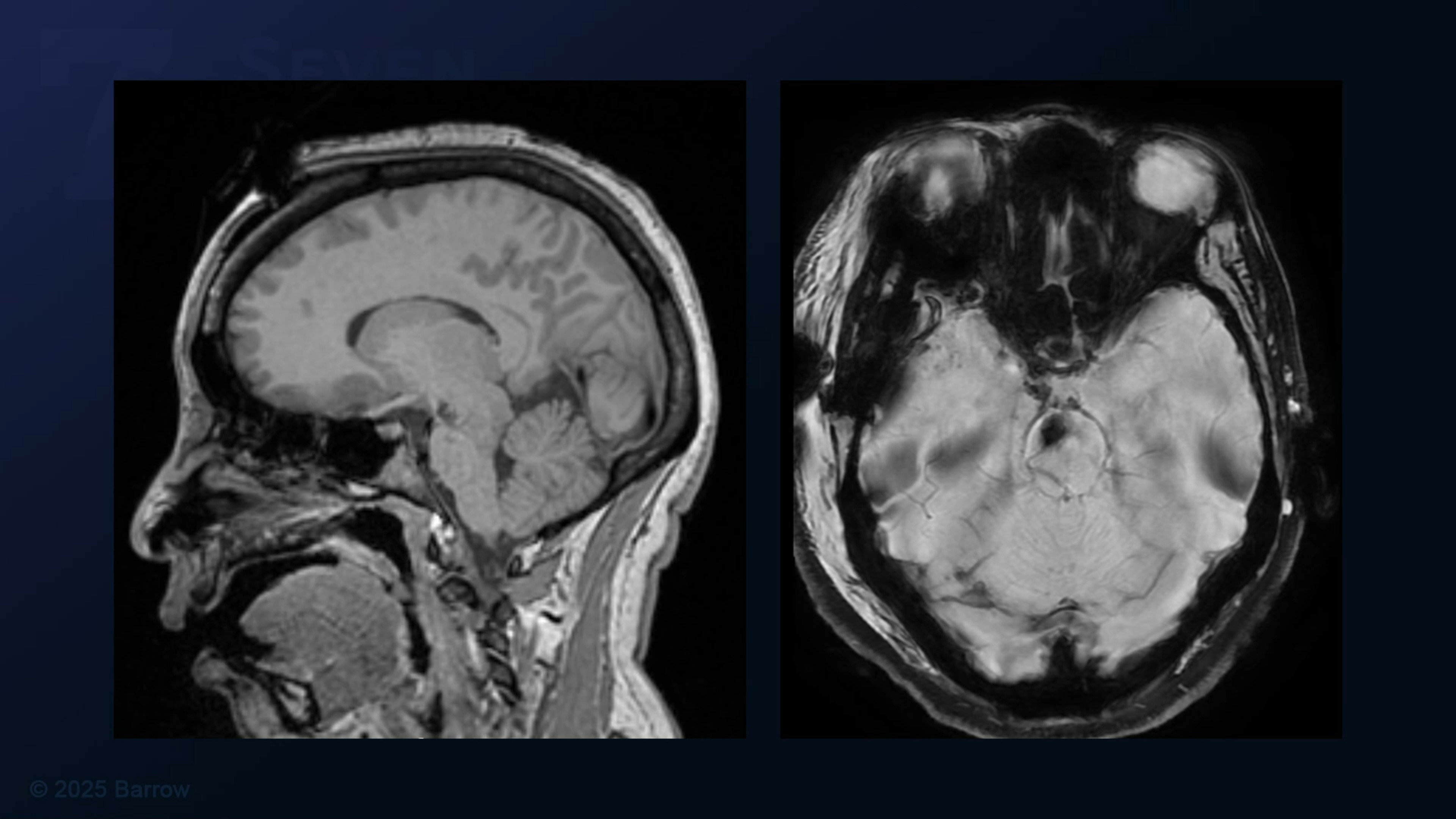
#486: Orbitozygomatic Craniotomy and Transsylvian-Transpeduncular Approach for Peduncular Midbrain Cavernous Malformation Resection
7:25
Episode 486 of Seven Series shows an orbitozygomatic craniotomy and transsylvian-transpeduncular approach for peduncular midbrain cavernous malformation resection.
Related Videos
In All Videos
-
Play video #524: Microsurgical Clipping of a Large Coiled Supraclinoid Internal Carotid Artery Aneurysm
#524: Microsurgical Clipping of a Large Coiled Supraclinoid Internal Carotid Artery Aneurysm
Episode 524 of Seven Series shows a microsurgical clipping of a large coiled supraclinoid internal carotid artery aneurysm.
5:53
-
Play video #531: Torcular Craniotomy with Supracerebellar-Infratentorial Approach for Resection of a Pineal Tumor
#531: Torcular Craniotomy with Supracerebellar-Infratentorial Approach for Resection of a Pineal Tumor
Episode 531 of Seven Series shows a torcular craniotomy with supracerebellar-infratentorial approach for resection of a pineal tumor.
6:27
-
Play video #530: Orbitozygomatic-Pterional Craniotomy and Transsylvian Approach for Clipping of a Superior Cerebellar Artery Aneurysm
#530: Orbitozygomatic-Pterional Craniotomy and Transsylvian Approach for Clipping of a Superior Cerebellar Artery Aneurysm
Episode 530 of Seven Series shows an orbiotozygomatic-pterional craniotomy and transsylvian approach for clipping of a superior cerebellar artery (SCA) aneurysm.
6:59
-
Play video #526: Orbitozygomatic Pterional Craniotomy with Posterior Clinoidectomy for Clipping of a Basilar Bifurcation Aneurysm
#526: Orbitozygomatic Pterional Craniotomy with Posterior Clinoidectomy for Clipping of a Basilar Bifurcation Aneurysm
Episode 526 of Seven Series shows an orbitozygomatic pterional craniotomy with a posterior clinoidectomy for clipping of a basilar bifurcation aneurysm.
6:54
-
Play video #525: T9-T11 Laminectomy with Left T10 Costotransversectomy for Resection of an Eccentric Intramedullary Spinal Cord Arteriovenous Malformation
#525: T9-T11 Laminectomy with Left T10 Costotransversectomy for Resection of an Eccentric Intramedullary Spinal Cord Arteriovenous Malformation
Episode 525 of Seven Series shows a T9-T11 laminectomy with left T10 costotransversectomy for resection of an eccentric intramedullary spinal cord arteriovenous malformation.
8:30
-
Play video #527: Pterional Craniotomy with Extradural Anterior Clinoidectomy and Transcavernous-Transtentorial Resection of a Meckel Cave Meningioma
#527: Pterional Craniotomy with Extradural Anterior Clinoidectomy and Transcavernous-Transtentorial Resection of a Meckel Cave Meningioma
Episode 527 of Seven Series shows a pterional craniotomy with extradural anterior clinoidectomy and transcavernous-transtentorial resection of a meckel cave meningioma.
8:38